Saltar al contenido
Días
Horas
Minutos
Segundos
SOCIEDAD COLOMBIANA DE ORTOPEDIA INFANTIL SOCOIN
ACCESO MIEMBROS
⌄
Nosotros
Miembros
Eventos
Podcast
Noticias
Caso del mes
ACCESO PACIENTES
⌄
Buscar especialista
CURSO 2026
Archivos
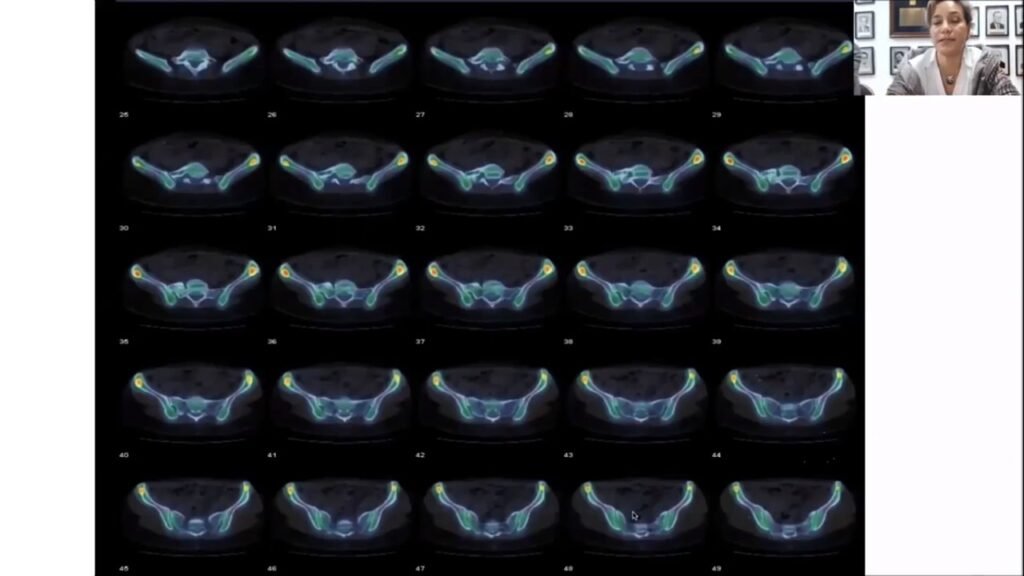
Webinar Nuevas tendencias tecnológicas de la medicina nuclear
Webinar Manejo del Dolor en los niños
Webinar Aprender a Aprender
←
Previous